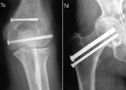
Osteosíntesis

¿Quieres conocer más sobre nosotros?

Proveemos el mejor servicio y comodidades a nuestros pacientes

La osteosíntesis es un procedimiento quirúrgico que se utiliza para reparar un hueso roto mediante la implantación de dispositivos que mantienen unidas las partes fracturadas.

Esto ayuda a que el hueso sane en la posición correcta y restablezca la función de la zona lesionada. Existen distintos tipos de implantes que se utilizan en la osteosíntesis, según la gravedad y la ubicación de la fractura.

Algunos tipos de implantes comunes son:

Placas y tornillos

Son placas de metal que se fijan al hueso con tornillos. Las placas se utilizan a menudo para fracturas que involucran múltiples fragmentos de hueso o que están ubicadas en un hueso que soporta peso.

Clavos intramedulares

Son clavos largos que se insertan en el centro del hueso (cavidad medular). Los clavos intramedulares se utilizan a menudo para fracturas de huesos largos, como el fémur o la tibia.

Fijadores externos

Son dispositivos que se adhieren al hueso con clavos o alambres en la parte exterior de la piel. Los fijadores externos se utilizan a menudo para fracturas complejas, fracturas en niños o fracturas que se encuentran en una zona a la que es difícil acceder con fijación interna.

La osteosíntesis es un procedimiento común y eficaz para tratar huesos rotos. Puede ayudar a mejorar los tiempos de curación, reducir el dolor y restaurar la función de la zona lesionada.

Lesiones del menisco
El menisco es un tejido cartilaginoso que actúa como amortiguador en la rodilla. Las lesiones meniscales son muy comunes y pueden causar dolor e irritación.
El cartílago articular cubre los extremos de los huesos en la rodilla y reduce la fricción. El daño al cartílago puede causar dolor y rigidez.
La sinovitis de rodilla es una inflamación de la membrana sinovial, un tejido que recupera la articulación de la rodilla y produce el líquido sinovial. Este líquido actúa como lubricante, permitiendo un movimiento suave y sin rozamiento de la rodilla.
Los ligamentos conectan los huesos de la rodilla y proporcionan estabilidad. Las lesiones de ligamento cruzado anterior (LCA) son especialmente comunes en deportistas.
Pequeños fragmentos de hueso o cartílago pueden soltarse dentro de la rodilla y causar dolor o bloquear el movimiento